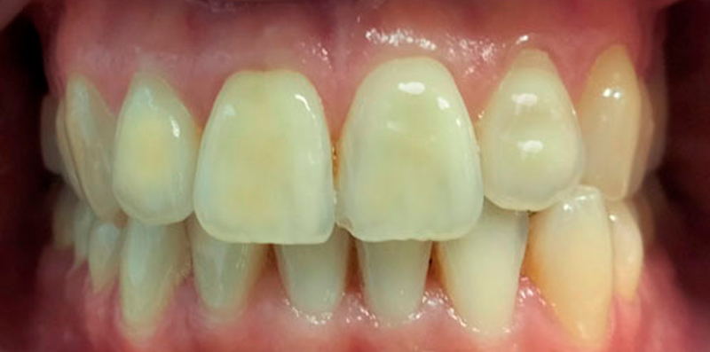
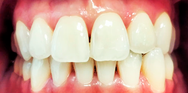
Blanqueamiento dental
Disfruta de una sonrisa deslumbrante con un tratamiento de blanqueamiento seguro realizado por profesionales.
Carillas dentales
Nuestras carillas dentales modifican la forma y color de tus dientes, para devolverte una sonrisa de cine.
Diseño de sonrisa
La mejor versión de tu sonrisa con nuestro innovador sistema, un mockup sobre tus dientes para que veas tu diseño.


