Implantes dentales

Para mejorar tu calidad de vida y recuperar tu seguridad al hablar, comer y sonreír de manera definitiva.

¿Por qué es importante reponer los dientes ausentes?

Cuando falta un diente, el hueso que solía sostenerlo comienza a deteriorarse. Los implantes evitan la pérdida ósea pero eso no es todo.

Gracias a la colocación de un implante dental evitamos los siguientes problemas que la ausencia de un diente provoca en tu boca:

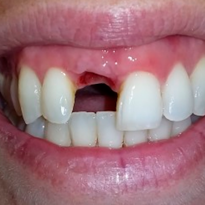
Implante unitario 1Implante unitario 2

Implante dental unitario

  • Problemas para masticar.
  • Problemas para el habla y la fonación.
  • Inseguridad por falta de estética.
  • Pérdida de hueso y hundimiento de los labios.
  • Movilidad del resto de dientes que tienden a movilizarse e inclinarse hacia el hueco existente.

¿Qué son los implantes dentales?

Los implantes dentales, hoy en día, son la mejor solución para sustituir un diente.

Un implante es un pequeño tornillo fabricado con titanio que insertamos quirúrgicamente en el hueso maxilar. Este tornillo proporciona una base sólida y duradera actuando como una raíz artificial sobre la cual se coloca la prótesis (la parte visible del diente). El resultado es lo más parecido a un diente real tanto en estética como en funcionalidad.

Es una solución fija y la más parecida a un diente natural, en cambio otras soluciones como las prótesis o los puentes dentales no solucionan el problema de la pérdida ósea y, este último además, implica el deterioro de los dientes adyacentes al colocar la prótesis, por eso el implante dental también es el tratamiento más conservador.

Ventajas de los implantes dentales

Las carillas dentales son finas láminas de cerámica o porcelana generalmente, aunque también pueden ser de otros materiales como el composite, que se adhieren a la parte frontal de los dientes para corregir: forma, tamaño, posición, color y fracturas.

A diferencia de las fundas o coronas, donde la reducción del tejido sano del diente es muy agresiva, para colocar carillas dentales será suficiente con aplicar una ligera asperización del esmalte frontal del diente para permitir la adhesión de la carilla. Se trata, por lo tanto, de un tratamiento mucho más conservador que la colocación de fundas.

Ventajas de los implantes dentales

¿En qué consiste la colocación de un implante?

Colocar implantes dentales es un proceso seguro y eficiente siempre que lo lleve a cabo un profesional de la implantología. Comienza con una evaluación exhaustiva de tu salud bucal realizando todas las pruebas diagnósticas necesarias para que el implantólogo pueda realizar la planificación de tu tratamiento de manera personalizada:

Valora la calidad del hueso donde va a colocar los implantes y realiza un estudio y analiza contigo las opciones posibles así como sus ventajas.

Llegado el momento de la cirugía, coloca el implante en el hueso del maxilar y se deja un período de cicatrización para permitir la integración adecuada.

Una vez que el implante se ha integrado en el hueso, procedemos a la colocación de la prótesis dental que diseñamos en base a tus características individuales, imitando la estética y las propiedades físicas del esmalte natural de los dientes garantizando una apariencia natural y una funcionalidad óptima.

Te informamos sobre tu tratamiento

Política de Privacidad de DatosAviso Legal & Política de Cookies © 2024 Clínica Dental Dra. María del Amo. 

Sitio web diseñado y desarrollado por Nokal Tech & Eric Vizcaya